The Choice

January 2007

The Appointment

I dropped Tex off at Bakersfield Veterinary Hospital on a Tuesday morning in January.

The plan was simple: nerve block, X-rays, find out what was wrong, figure out how to fix it. I’d tried enough of my own rest-and-recovery theories. If something needed to be done, winter was the time to do it. I wanted to be riding again by spring.

I loaded Tex into the trailer and drove the fifteen minutes to the clinic. Watched him walk into the pen with the mustard-yellow rails.

Dr. Filkins said they’d call when they were ready. I drove to my store and tried to work.

The morning dragged.

The call came around two.

The X-Rays

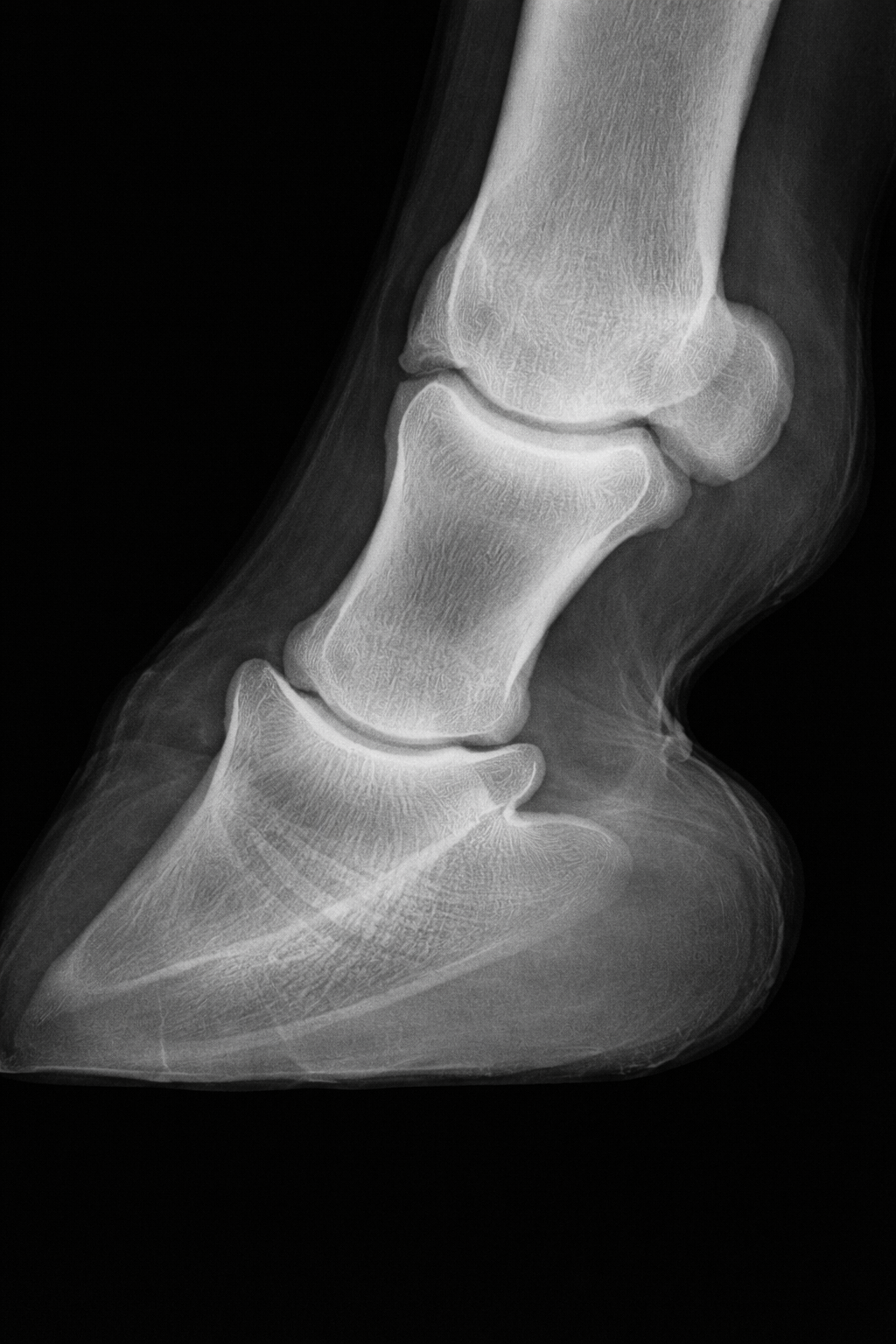
The viewing room was small and cramped. Light boxes on both walls. Four X-rays clipped up, glowing white against dark film.

Dr. Filkins pointed to the first one.

“This is the navicular bone,” he said. “It should look like a dowel. Smooth. Even.”

He moved to the next film.

“This is Tex’s.”

I’d seen plenty of X-rays during my years in small animal clinics. I knew what healthy bone looked like.

Tex’s navicular bones—both of them—looked like number-two pencils a nervous bookie had been chewing on. Pitted. Irregular. Damaged in a way that had clearly been building for a long time.

“Both front feet,” Dr. Filkins said. “This has been going on for a while.”

My stomach dropped.

“What are the options?” I asked.

The Conversation

He laid them out: nerve blocks to deaden the pain, corrective shoeing to change the angle, medication to manage inflammation.

“None of those are long-term solutions,” he said. “They’re management, not fixes.”

I searched for alternatives.

“What about pasture retirement? Just let him be a field horse?”

He held my eyes.

“He wouldn’t be any more comfortable in a pasture than he is in his stall. The damage is done. The pain isn’t going away.”

“A therapy horse then. Something light. Kids—”

“He doesn’t have the temperament for that. You know that.”

I did know that. I just didn’t want to land where this was headed.

“The responsible thing,” he said quietly, “is to put him out of pain.”

My chest tightened.

I’d worked in veterinary clinics for nearly a decade. I understood euthanasia. The mechanics. The necessity. The mercy.

But this was different.

This was Tex.

The tears came before I could stop them. I stood there crying in front of another adult for what felt like the first time in my life.

Dr. Filkins didn’t look away.

“What’s the next step?” I said.

He slid the form across the desk.

I stared at it.

Then I signed.

The Goodbye

Dr. Filkins told me to follow him. We walked through the main section of the hospital. A metal barn—hoses coiled on the walls, buckets stacked under cabinets, equipment bolted to concrete. Everything smelled like disinfectant and wet concrete. Floor drains everywhere.

Outside, the January sun was too bright.

He pointed to a pen made of heavy pipe painted an ugly yellow.

“Take as much time as you need.”

Then he left.

Tex looked at me, slightly bewildered. He’d had a rough morning—drugged, prodded, X-rayed. When he saw me, something in his expression shifted. Relief, maybe.

I stayed outside the rails. Tex didn’t like being hugged. I wasn’t going to force that now.

I rubbed the white blaze on his nose. He leaned into it slightly, the way he always did.

“The pain’s going to be over soon,” I said.

I stood there, trying to memorize the warmth of him.

Then I stepped back.

“Goodbye, friend.”

I walked away before I could reconsider.

Inside, I paid the bill. Signed the final paperwork. Drove home alone.

After

The drive was fifteen minutes. I don’t remember any of it.

At home, I told Ranae what the X-rays showed. What the vet said. Why I signed.

She listened. She didn’t argue. She didn’t try to fix anything.

That night I stood at the fence and looked at Tex’s empty pen.

One less stall to clean.
One less mouth to feed.
One less animal under my care.

What Husbandry Means

I learned the term “animal husbandry” when I was eleven.

When I told my sixth-grade teacher I wanted to be a veterinarian, he told me to look into the different ways that could happen. Somewhere in that reading, I came across it.

Animal husbandry meant taking animals under your care and ensuring their health and welfare.

At eleven, that sounded simple.

Forty years later, standing in that X-ray room, I realized I had mistaken effort for understanding.

The Three Months

January passed. Then February.

The routines stayed. The reason didn’t.

I kept the corrals clean. Helped with Dusty. Rode Charlie when Susan let me.

At night, I still watched RFD-TV. Still rewound sections of training videos. Still thought about feel and timing.

The fire hadn’t gone out.

What Tex Gave Me

Thirteen months. That was my first attempt.

Thirteen months of fumbling with lead ropes and missing my timing. Of trying to work my way through problems I barely understood.

In the end, I learned something smaller and harder.

Sometimes the right thing isn’t trying longer.

Sometimes it’s stopping.

March

In March, I found a seven-year-old Foundation Quarter Horse mare on DreamHorse.

She’d had two babies. Not much training.

I wasn’t trying to replace Tex.

I was trying again.

Before I clicked away from her photo, I thought about a cold morning in November. A borrowed shop light clamped to the fence. Tex shifting his weight while I struggled to find the right timing.

He didn’t understand what I was asking at first.

Neither did I.

It took three mornings before I said it clearly enough for him to answer.

That was the real lesson.

Not the X-rays.
Not that ugly yellow pen.

The lesson was that horses don’t respond to effort.

They respond to clarity.

Tex made me learn that the hard way.

And once I did, I wasn’t finished.

Previous
Previous

Cheap Education

Next
Next

The Bathtub